Where Does Your Foot Hurt?

There are a variety of bones, ligaments and tendons in the foot, and any condition that affects these can be very painful. Foot pain can ruin daily life and become very complicated. Depending on the area of the foot that hurts, a variety of different injuries may be considered. Heel pain, which is one of the most debilitating forms of foot pain, is often a sign of heel spurs or plantar fasciitis (inflammation of the tissues along the bottom of the foot). Conditions such as sesamoiditis, metatarsalgia, or Morton’s neuroma, which is a thickening of tissues around the nerves, can lead to pain in the ball of the foot. Patients who are experiencing pain in the arch of the foot may be suffering from flat feet or fallen arches. Other issues such as gout, bunions, hammertoes, and turf toe can cause pain in the toes. Patients who are struggling with foot pain should consult with a podiatrist for a proper diagnosis and treatment.   

Foot Pain

Foot pain can be extremely painful and debilitating. If you have a foot pain, consult with Mark Isenberg, DPM from Center for Podiatric Excellence. Our doctor will assess your condition and provide you with quality foot and ankle treatment.

Causes

Foot pain is a very broad condition that could be caused by one or more ailments. The most common include:

  • Bunions
  • Hammertoes
  • Plantar Fasciitis
  • Bone Spurs
  • Corns
  • Tarsal Tunnel Syndrome
  • Ingrown Toenails
  • Arthritis (such as Gout, Rheumatoid, and Osteoarthritis)
  • Flat Feet
  • Injury (from stress fractures, broken toe, foot, ankle, Achilles tendon ruptures, and sprains)
  • And more

Diagnosis

To figure out the cause of foot pain, podiatrists utilize several different methods. This can range from simple visual inspections and sensation tests to X-rays and MRI scans. Prior medical history, family medical history, and any recent physical traumatic events will all be taken into consideration for a proper diagnosis.

Treatment

Treatment depends upon the cause of the foot pain. Whether it is resting, staying off the foot, or having surgery; podiatrists have a number of treatment options available for foot pain.

If you have any questions, please feel free to contact our office located in Pensacola, FL . We offer the newest diagnostic and treatment technologies for all your foot care needs.

Read more about Foot Pain

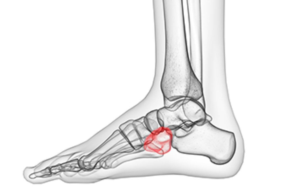
How Does the Cuboid Bone Become Displaced?

Cuboid syndrome, also called cuboid subluxation, occurs when the cuboid bone in the midfoot is displaced. This can happen when the tendons that support the cuboid are injured, usually because of repetitive overuse. The injured or torn tendons pull on the cuboid bone, moving it from its usual position. This produces symptoms such as pain on the outer side of the foot, tenderness, swelling, weakness, and difficulty walking. Cuboid syndrome often occurs following an ankle sprain, and frequently affects dancers, jumpers, sprinters, or anyone who regularly places a great deal of pressure on their feet. For more information about cuboid syndrome, please consult with a podiatrist. 

Cuboid syndrome, also known as cuboid subluxation, occurs when the joints and ligaments near the cuboid bone in the foot become torn. If you have cuboid syndrome, consult with Mark Isenberg, DPM from Center for Podiatric Excellence. Our doctor will assess your condition and provide you with quality foot and ankle treatment.

Cuboid syndrome is a common cause of lateral foot pain, which is pain on the outside of the foot. The condition may happen suddenly due to an ankle sprain, or it may develop slowly overtime from repetitive tension through the bone and surrounding structures.

Causes

The most common causes of cuboid syndrome include:

  • Injury – The most common cause of this ailment is an ankle sprain.
  • Repetitive Strain – Tension placed through the peroneus longus muscle from repetitive activities such as jumping and running may cause excessive traction on the bone causing it to sublux.
  • Altered Foot Biomechanics – Most people suffering from cuboid subluxation have flat feet.

Symptoms

A common symptom of cuboid syndrome is pain along the outside of the foot which can be felt in the ankle and toes. This pain may create walking difficulties and may cause those with the condition to walk with a limp.

Diagnosis

Diagnosis of cuboid syndrome is often difficult, and it is often misdiagnosed. X-rays, MRIs and CT scans often fail to properly show the cuboid subluxation. Although there isn’t a specific test used to diagnose cuboid syndrome, your podiatrist will usually check if pain is felt while pressing firmly on the cuboid bone of your foot.

Treatment

Just as the range of causes varies widely, so do treatments. Some more common treatments are ice therapy, rest, exercise, taping, and orthotics.

If you have any questions, please feel free to contact our office located in Pensacola, FL . We offer the newest diagnostic and treatment technologies for all your foot care needs.

Read more about Cuboid Syndrome

Why Custom Orthotics Are Important

You may have seen or heard of over-the-counter shoe inserts in the form of insoles, heel liners, or arch supports. While they do provide minimal cushioning, none of these inserts are designed to fit to your individual feet, nor can they correct any particular gait or structural issues. Custom orthotics prescribed and fitted by a podiatrist are specifically designed to improve your body’s biomechanics (how it moves). Orthotics can help reduce pain, adjust an abnormal gait, compensate for a congenital foot deformity, create more support for your feet, and help distribute weight more evenly across your feet. If you live with any type of foot pain or discomfort, or have ambulatory issues, check with a podiatrist to see if custom orthotics can help your particular condition.

If you are having discomfort in your feet and would like to try orthotics, contact Mark Isenberg, DPM from Center for Podiatric Excellence. Our doctor can provide the care you need to keep you pain-free and on your feet.

What Are Orthotics?

Orthotics are inserts you can place into your shoes to help with a variety of foot problems such as flat feet or foot pain. Orthotics provide relief and comfort for minor foot and heel pain but can’t correct serious biomechanical problems in your feet.

Over-the-Counter Inserts

Orthotics come in a wide variety of over-the-counter inserts that are used to treat foot pain, heel pain, and minor problems. For example, arch supports can be inserted into your shoes to help correct overarched or flat feet, while gel insoles are often used because they provide comfort and relief from foot and heel pain by alleviating pressure.

Prescription Orthotics

If over-the-counter inserts don’t work for you or if you have a more severe foot concern, it is possible to have your podiatrist prescribe custom orthotics. These high-quality inserts are designed to treat problems such as abnormal motion, plantar fasciitis, and severe forms of heel pain. They can even be used to help patients suffering from diabetes by treating foot ulcers and painful calluses and are usually molded to your feet individually, which allows them to provide full support and comfort.

If you are experiencing minor to severe foot or heel pain, it’s recommended to speak with your podiatrist about the possibilities of using orthotics. A podiatrist can determine which type of orthotic is right for you and allow you to take the first steps towards being pain-free.

If you have any questions, please feel free to contact our office located in Pensacola, FL . We offer the newest diagnostic and treatment technologies for all your foot care needs.

Read more about Foot Orthotics

What Is a Tailor’s Bunion?

A tailor’s bunion, also known as a bunionette, occurs when the 5th metatarsal bone (the bottom bone on the little toe) begins to shift outwards. Tailor’s bunions are very similar to a normal bunion which occurs on the big toe, but instead, they occur on the pinky toe. A tailor’s bunion will present itself as a swollen bump on the outside of the pinky toe, and it may get larger over time. They can be red and painful, and they tend to get worse as they rub against the shoe. Some of the reasons Tailor’s bunions may form include shoes that don’t fit correctly, an inherited structural foot problem, loose ligaments in the foot, or an inverted foot that leans outwards. Patients who are struggling with a painful Tailor’s bunion should consult with a podiatrist for suggestions on both relieving the pain and treating the bunion. 

If you are suffering from bunion pain, contact Mark Isenberg, DPM of Center for Podiatric Excellence. Our doctor can provide the care you need to keep you pain-free and on your feet.

What Is a Bunion?

Bunions are painful bony bumps that usually develop on the inside of the foot at the joint of the big toe. As the deformity increases over time, it may become painful to walk and wear shoes. Women are more likely to exacerbate existing bunions since they often wear tight, narrow shoes that shift their toes together. Bunion pain can be relieved by wearing wider shoes with enough room for the toes.

Causes

  • Genetics – some people inherit feet that are more prone to bunion development
  • Inflammatory Conditions - rheumatoid arthritis and polio may cause bunion development

Symptoms

  • Redness and inflammation
  • Pain and tenderness
  • Callus or corns on the bump
  • Restricted motion in the big toe

In order to diagnose your bunion, your podiatrist may ask about your medical history, symptoms, and general health. Your doctor might also order an x-ray to take a closer look at your feet. Nonsurgical treatment options include orthotics, padding, icing, changes in footwear, and medication. If nonsurgical treatments don’t alleviate your bunion pain, surgery may be necessary.

If you have any questions, please feel free to contact our office located in Pensacola, FL . We offer the newest diagnostic and treatment technologies for all your foot care needs.

Read more about Bunions

Connect With Us

Advanced Podiatry Services in the Brent, FL and East Hill, North Hill, Cordova Mall, Estates, Bayou Texar, College Park, Azalea park, Bonair in Pensacola, Florida areas